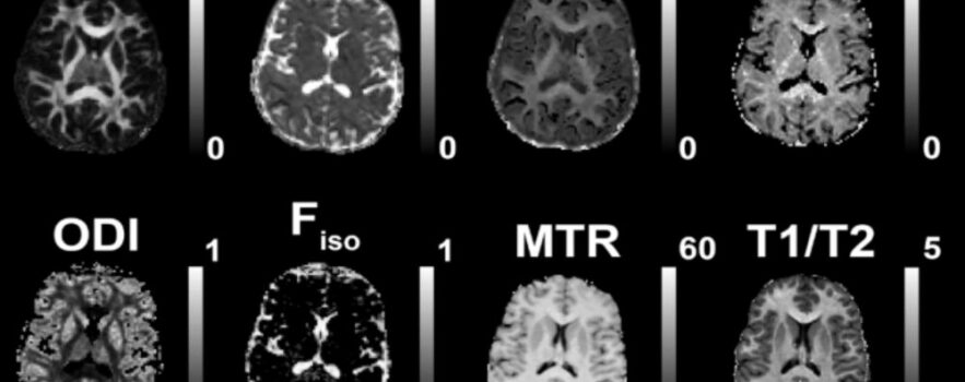
New CamCAN study used 11 different measures to show that white-matter health is multidimensional: 4 latent MRI-derived factors explained 89% of variance, were predicted by vascular health, and predicted cognition


New CamCAN study used 11 different measures to show that white-matter health is multidimensional: 4 latent MRI-derived factors explained 89% of variance, were predicted by vascular health, and predicted cognition
© 2026 University of Cambridge
Cambridge Centre for Ageing and Neuroscience